Курение
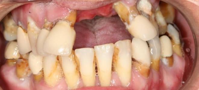
Как отбелить зубы от сигарет
Как отбелить зубы от сигарет Как отбелить зубы после курения Красивая улыбка, белоснежные зубы и свежее дыхание – сколько вы...
Как курение влияет на память
Как курение влияет на память Как курение влияет на мозг Курение – это привычка, которая губительна для сосудов головного мозга,...
Почему люди набирают вес когда бросают курить
Почему люди набирают вес когда бросают курить Почему, когда бросаешь курить, набираешь вес? Если вы курите, самое здоровое решение —...
Как правильно курить бошки через трубку
Как правильно курить бошки через трубку СЕМЬ ПРОСТЫХ СПОСОБОВ УБИТЬСЯ, ЕСЛИ ПОД РУКОЙ НЕ ОКАЗАЛОСЬ ДЕВАЙСА Трава есть, а курить...
До и после отказа от курения фото
До и после отказа от курения фото Кожа и курение: как вредная привычка влияет на ваше лицо и как меняется...
Adblock
detector
Для любых предложений по сайту: bureau-m@cp9.ru